来源:Dermatopathology 发布时间:2026/4/15 14:49:35
选择字号:
厚性扁平苔藓与苔藓样浸润性皮损:一例病例带来的诊断启示

论文标题:Hypertrophic Lichen Planus and Hypertrophic Skin Lesions Associated with Histological Lichenoid Infiltrate: A Case Report and Literature Review

论文链接:https://www.mdpi.com/2296-3529/12/1/8

期刊名:Dermatopathology

期刊主页:https://www.mdpi.com/journal/dermatopathology

导语:皮肤上出现顽固、增厚、瘙痒的斑块,可能不只是慢性湿疹或神经性皮炎。一种被称为“肥厚性苔藓样浸润”的病理改变,背后可能隐藏着多种截然不同的疾病——从良性到恶性,诊断需慎之又慎。

近日,发表于 Dermatopathology 的一篇病例报告与文献综述,系统梳理了一类以临床表现为肥厚性皮损、组织病理学上表现为苔藓样浸润的皮肤疾病。这类疾病临床相似度高,但预后和处理方式差异巨大。

一、什么是“肥厚性苔藓样浸润”?

苔藓样浸润是指皮肤真皮与表皮交界处出现密集、带状分布的淋巴细胞浸润。当这种浸润发生在肥厚性皮损中,便构成了一组诊断困难的疾病集合,简称 HCLI。

研究团队通过一例典型病例切入,回顾了9种可能表现为HCLI的疾病,并总结了各自的临床、病理及预后特点。

二、一个典型病例

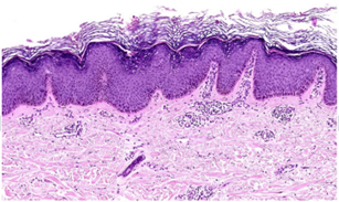
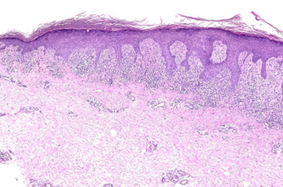
患者为60岁男性,全身广泛分布瘙痒性疣状斑块,持续一年。初起于右踝,逐渐蔓延至四肢及躯干。病理检查显示:表皮角化过度、颗粒层增厚、棘层不规则增生,真皮乳头层可见致密带状淋巴细胞浸润。

最终诊断:肥厚性扁平苔藓合并单纯性苔藓。

经糖皮质激素及抗组胺等治疗,5周后皮损明显改善。

三、九种疾病,同一种“模样”

研究团队将临床上可能表现为肥厚性皮损、病理上可见苔藓样浸润的疾病归纳如下:

疾病 临床特点 病理关键点 预后/处理
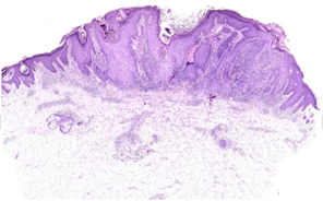
肥厚性扁平苔藓 紫红色疣状斑块,好发于下肢 楔形颗粒层增厚,不规则棘层增生,基底细胞液化变性 病程长,易反复
肥厚性苔藓样皮炎 与免疫检查点抑制剂相关 海绵水肿明显,嗜酸性粒细胞浸润 通常不需停药
肥厚性硬皮病样苔藓 白色增厚与萎缩交替,少见 真皮上部透明样胶原带,血管改变 治疗反应差
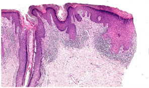
单纯性苔藓 皮肤增厚、苔藓化,伴抓痕 非楔形颗粒层增厚,真皮乳头增厚 治疗反应良好
鳞状细胞癌 红斑-紫罗兰色斑块,易溃瘍 非典型角质形成细胞,核分裂象 局部侵袭,少数转移
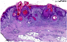
角化棘皮瘤 半球形结节,中央角栓 对称性增生,中央角化充填 数月内可自发消退
假上皮瘤样增生 界限清楚斑块/结节 表皮突延长,轻度异型,核分裂少见 可增大,也可自愈
病毒疣 乳头状增生的丘疹 挖空细胞,真皮乳头血管扩张 免疫低下者更顽固
红斑狼疮/扁平苔藓重叠综合征 疼痛性蓝红色斑块,可呈疣状 基底膜增厚,毛囊及血管周围炎症明显 病程可变

 

四、临床启示:诊断靠“三点”

肥厚性苔藓样皮损的诊断,不能只看临床,也不能只靠病理,必须临床—病理—甚至治疗反应三者结合。

1. 活检部位与深度至关重要

浅表活检可能无法捕捉到苔藓样浸润的全貌,尤其当需要鉴别鳞癌或假上皮瘤样增生时,足够深度的标本是诊断的前提。

2. 病理特征需逐项对照

• 楔形颗粒层增厚 → 更支持肥厚性扁平苔藓

• 非楔形颗粒层增厚 + 真皮乳头规则增厚 → 更支持单纯性苔藓

• 显著异型、核分裂、角化珠 → 警惕鳞癌

• 挖空细胞 → 提示病毒疣

• 基底膜增厚 + 毛囊周围炎症 → 考虑狼疮/苔藓重叠

3. 临床背景不可忽视

• 是否使用免疫检查点抑制剂?→ 警惕肥厚性苔藓样皮炎

• 是否有长期搔抓史?→ 可能为单纯性苔藓

• 皮损是否快速生长后稳定?→ 可能为角化棘皮瘤

五、结语

“肥厚”二字,看似简单,背后却可能是一条通向不同诊断的分岔路。对于表现为肥厚性苔藓样浸润的皮肤疾病,唯有精准的临床识别、规范的病理取材、细致的组织学对照,才能避免误诊,为患者选择最合适的治疗路径。

Dermatopathology 期刊介绍

主编:Gürkan Kaya, University Hospital of Geneva, Switzerland

Dermatopathology (ISSN 2296-3529) 创刊于2014年,是由欧洲皮肤病理协会 (ESDP) 主办,MDPI合作出版的国际同行评议开放获取期刊。本刊专注于皮肤病理学领域的诊断实践、人类及实验动物研究。

2024 Impact Factor
1.7
Time to First Decision
32.6 Days
Acceptance to Publication
6.8 Days
 
 
 
 
特别声明:本文转载仅仅是出于传播信息的需要,并不意味着代表本网站观点或证实其内容的真实性;如其他媒体、网站或个人从本网站转载使用,须保留本网站注明的“来源”,并自负版权等法律责任;作者如果不希望被转载或者联系转载稿费等事宜,请与我们接洽。
 
 打印  发E-mail给: 
    
 
相关新闻 相关论文

图片新闻
迄今最偏心双星系统被发现 量子计算机首次加载完整基因组
科学家首次绘制出类地行星气候图 云南发现八角属新种睡莲八角
>>更多
 
一周新闻排行
 
编辑部推荐博文